Herz? Niere? Oder vielleicht doch die Schilddrüse? Um den Kursus „Mikroskopische Anatomie“ zu bestehen, müssen Medizinstudenten Präparate zuverlässig erkennen. Und deshalb verbringen sie viele Stunden im Mikroskopiersaal. Ab sofort können sie den „Kurskasten“, der die wichtigsten Gewebeschnitte enthält, auf dem Smartphone studieren. Die Web-App „MyMi.mobile“ der Uni Ulm macht es möglich.
Die Anwendung, die auf allen gängigen Smartphones und Tablet-PCs läuft, wurde vom Ulmer Institut für Molekulare und Zelluläre Anatomie sowie dem Kompetenzzentrum für eLearning in der Medizin Baden-Württemberg entwickelt. Sie erweitert die Online-Lernplattform „MyMICROscope“, die bereits mit dem Lehrpreis der Universität Ulm ausgezeichnet wurde und fester Bestandteil des hiesigen Medizinstudiums ist.
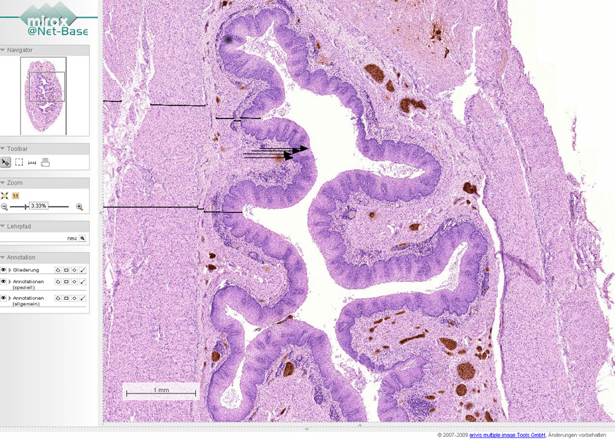
Die Anwendung, auf deren Icon ein kleines Mikroskop abgebildet ist, ermöglicht eine faszinierende Reise durch den menschlichen Körper: Nutzer können ein Präparat, zum Beispiel einen histologischen Schnitt durch den Herzmuskel, auswählen und von der Gesamtansicht ausgehend bis in kleinste Details hineinzoomen. Alle wichtigen Strukturen sind darüber hinaus mit Informationstexten verknüpft.
Zu beachten ist allerdings, dass die Bilder aufgrund der hohen Auflösung enorm groß sind und sehr viel Datenvolumen verbrauchen können, sofern du dich nicht in einem WLAN befindest.
Die App ist aber nicht nur für Studierende interessant, viele Inhalte sind auch für Personen ohne Studentenausweis zugänglich.
Hier ein Video zur App:
Quelle: Innovationsreport
















